
OPERO PRESSO:
Studio dr Barbara Duprè - Via castellana, 86c - Martellago (VE)
(VISUALIZZA SULLA MAPPA)
Telefono: 349-3734922 - E-mail: 1michelemichielan@gmail.com
P.iva: 02850360278 - Cod.Fisc.: mchmhl70c27f904x
- Ortodonzia intercettiva
- Ortodonzia fissa invisibile
- Allineatori
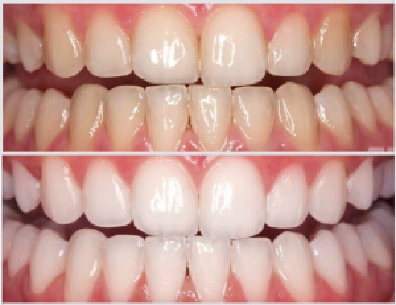
- Sbiancamento professionale
- Protesi fissa
- Protesi su impianti
- Protesi mobile
- Chirurgia conservativa


